Ein fehlender Seitenzahn - zahnfarben verblendete Einzelkronen auf Implantaten

IMPLANTATE: In den Kiefer wird eine künstliche Wurzel gesetzt, das Implantat. Der neue Zahn wird in diese künstliche Wurzel geschraubt. Nachbarzähne müssen nicht beschliffen werden. Die eleganteste und ästhetisch hochwertigste Lösung.

Zurück zur Übersicht

Prinzipieller Aufbau einer  dentogingivaler Verschluß) Nur in Ausnahmefällen wird ein I. direkt nach Entfernung oder unfallbedingtem Verlust eines Zahnes in die frische Wunde eingesetzt (Sofortimplantat); vielmehr wartet man i.d.R. mindestens einen Zeitraum von 4-8 Wochen ab, um etwaige vorhandene Entzündungsherde ausheilen zu lassen und genügend neugebildeten Knochen als "Fundament" (Implantatlager) zur Verfügung zu haben (s.a. unter Augmentation, Biokompatibilität, Blattimplantat, Sinuslifting, transdentale Fixation). ','5');"> Implantatkonstruktion:

(1) ist das eigentliche Implantat, welches in den Knochen operativ eingesetzt wird.
(2) wird nach Einheilungsprozess in (1) eingeschraubt.
(3) sichtbare Krone

HERVORRAGENDE EIGENSCHAFTEN

  • ästhetisch perfekt
  • sehr lange Lebensdauer
  • sehr gute Verträglichkeit
  • Nachbarzähne werden nicht in Mitleidenschaft gezogen

BEISPIEL:

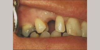
Nichtversorgte Zahnlücke im Oberkiefer

Implantat nach mehrwöchigem Einheilungsprozess, vorbereitet zur Aufnahme der Überkonstruktion.
Bis zu diesem Zeitpunkt wird die Zahnlücke mit einem provisorischen Zahnersatz verschlossen.

ERGEBNIS:

Ästhetisch perfekte Krone, die sich harmonisch den natürlichen Nachbarzähnen anpasst.

BEISPIEL
Nichtablage eines oberen rechten Prämolaren

Bilder:
Vita Zahnfabrik H. Rauter GmbH & Co. KG
Spitalgasse 3
79713 Bad Säckingen

Heraeus Kulzer GmbH & Co. KG
Grüner Weg 11
63450 Hanau

Bilder:
Futura Dentaltechnik GmbH
Lindengarten 14
18273 Güstrow

Zurück zur Übersicht