Zwei oder mehr fehlende Frontzähne - metallfreie Vollkeramikbrücke

 

Zurück zur Übersicht

DIE VOLLKERAMISCHE BRÜCKE

Der Vorteil dieser Brückenversorgung liegt im Verzicht auf metallische Bestandteile. Auch der Brückenkörper besteht aus hochfester Spezialkeramik.  Korrosion,  Allergien oder Zahnfleischverfärbungen sind nicht möglich:
Das keramische Brückengerüst wird mit spezieller 
Verblendkeramik individuell verblendet.

BILD:
Brückengerüst vor der zahnfarbenen Verblendung

VOLLKERAMIK ist metallfrei. Deshalb gibt es auch keine sichtbaren Metallränder.  Füllungen, Kronen und Brücken aus Vollkeramik sind zahnfarben und nicht als Zahnersatz erkennbar.

BILD:
HINTERGRUND: VOLLKERGERÜST VOR DER VERBLENDUNG
VORDERGRUND: VERBLENDETE DREIGLIEDRIGE B.

BILD:
Individuell verblendete  vollkeramische Brücke .
Die Technik erlaubt eine sehr exakte Rekonstruktion der individuellen Situation des Patienten.

VOLLKERAMIK kann nicht korrodieren und ist äusserst gewebeverträglich. Im Mund entstehen keine Geschmacksbeeinträchtigungen oder Verfärbungen. Zahnbeläge finden auf der Keramikoberfläche wenig Halt; dies beugt Entzündungen vor. Bei Patienten mit  Allergien und Metallunverträglichkeiten ist Vollkeramik das Material der Wahl, und es ist physikalisch dem Zahnschmelz ähnlich. Vollkeramik ist kaum wärmeleitend; dies vermindert Reizungen des Zahnnervs durch Temperaturwechsel (Kaffee, Eis). 
BILD:
Keramik lässt einfallendes Licht wie beim unbehandelten Zahn durchscheinen.

HERAUSRAGENDE EIGENSCHAFTEN

IST ALS ZAHNERSATZ NICHT IDENTIFIZIERBAR

  • für höchste ästhetische Ansprüche, wie ein natürlicher Zahn 
  • sehr gute Passung
  • keine materialbedingten Verfärbungen am Zahnfleischsaum
  • biokompatibel, keine Allergien
  • SEHR GUTES PREIS-LEISTUNGSVERHÄLTNIS

BILD:
Schnitt durch eine vollkeramische Frontzahnkrone

Bilder:
Vita Zahnfabrik H. Rauter GmbH & Co. KG
Spitalgasse 3
79713 Bad Säckingen
Futura Dentaltechnik GmbH
Lindengarten 14
18273 Güstrow

BILD:
metallfreie Brückengerüste vor der Verblendung

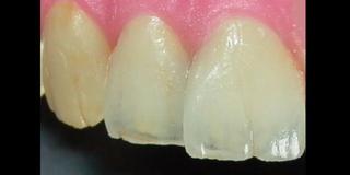
BILD:
vollkeramische Restauratuion im Patientenmund

Zurück zur Übersicht