Defekter Zahn - vollkeramische Inlays, Teil-/ Vollkronen

Die Entwicklung hochfester Keramiken ermöglicht die vollkommen metallfreie Fertigung der prothetischen Versorgung. Die Festigkeit und Passgenauigkeit ist mit herkömmlichen metallischen Versorgungen vergleichbar. .....TECHNIK: Der präparierte Zahnstumpf wird mit einem passgenauen Keramik- Käppchen überzogen. Auf dieses Käppchen wird eine individuelle zahnfarbene Verblendkeramik aufgebrannt. 

Zurück zur Übersicht

VOLLKERAMISCHE KRONE

HERAUSRAGENDE EIGENSCHAFTEN

  • ästhetisch perfekte Gestaltung möglich
  • vom natürlichen Zahn nicht zu unterscheiden
  • metallfrei, daher
  • keine korrosionsbedingten Verfärbungen am Zahnfleischsaum
  • sehr gute Passung 
  • allergieneutrale Materialien
  • bisherige Studien belegen eine Mindestverweildauer von weit mehr als 10 Jahren

VOLLKERAMISCHE ,METALLFREIE KRONEN WIRKEN WIE NATÜRLICHE ZÄHNE :
SIE SIND AUCH BEI KÜNSTLICHEM LICHT ALS ZAHNERSATZ NICHT ZU IDENTIFIZIEREN!!!!

BEISPIEL.:
Patient mit alten Metallkeramik - Frontzahnkronen.
Deutlich zu sehen sind die intensiven Verfärbungen und der Rückgang des Zahnfleisches durch Material- und Passungsprobleme:

Die neue vollkeramische Versorgung spricht für sich selbst.

VOLLKERAMISCHES INLAY
Nach dem Einsetzen in den Mund strahlt die natürliche Farbe des Zahnes in die Keramik und der Schaden am Zahn ist nicht mehr sichtbar. 

OBEN LINKS:
vollkeramisches Inlay Detail

WICHTIGER HINWEIS.

  • HÄUFIGSTE ANWENDUNG IM SICHTBAREN BEREICH
  • NICHT ZU EMPFEHLEN BEI ÜBERMÄßIGEN KAUKRÄFTEN

BEISPIEL: 
VOLLKERAMISCHE FRONTZAHNKRONEN und  Veneers
Ausgangssituation:Fehlstellung der oberen Schneidezähne 
Ziel der Restauration: Berichtigung der Fehlstellung und Gestaltung einer harmonischen Zahnreihe

Obere Frontzähne wurden mit VOLLKERAMISCHEN KRONEN und Veneers versorgt. Vollständige Berichtigung der Zahnstellung und ästhetisch sehr gelungene Keramikschichtung.
Das verwendete Vollkeramiksystem ermöglicht eine perfekte Passung.

ERGEBNIS: ...........eine zufriedene Patientin

Fotos: Futura Dentaltechnik GmbH
Lindengarten 14
18273 Güstrow

BEISPIEL
Ausgangssituation:überkronungsbedürftige obere Frontzähne.

Die vier mit Vollkeramik gefertigten Kronen auf dem Gipsmodell.

Fertige Restauration im Patientenmund.

Fotos:
Futura Dentaltechnik GmbH,
18273 Güstrow
Lindengarten 14

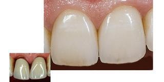
BEISPIEL:
Die Schneidezähne sind wegen kariöser Defekte mit alten Kunststoffüllungen versorgt gewesen,die im Laufe der Zeit zu Spaltbildung neigen und letzlich ästhetisch nicht mehr zufriedenstellend waren.
Die Auftragstellung bestand in der Restauration der Zähne mit metallfreien Kronen, wobei Länge und Stellung des Zahnes 11 leicht korrigiert werden sollten.

Die neuen Kronen passen sich harmonisch in die Zahnreihe ein und sind als Zahnersatz nicht zu identifizieren.

Bilder:
Futura Dentaltechnik GmbH
Lindengarten 14
Güstrow
18273

Zurück zur Übersicht